Son yıllarda artan kolalı içecek tüketimi, sağlığımız üzerinde ciddi tehditler oluşturuyor. Uzmanlar, özellikle gençler arasında yaygın olan bu alışkanlığın obezite, diyabet ve diş sağlığı problemleri gibi pek çok sağlık sorununa yol açabileceği konusunda uyarıyor.
Reyhan ÖZBAKIR / HERKES DUYSUN
BURSA (İGFA) - Bir kutu kolanın, ortalama 30 gram şeker içerdiğini belirten uzmanlar, bu miktarın bir yetişkinin günlük önerilen şeker alımının neredeyse tamamını karşıladığını belirtiyor. Aşırı şeker tüketiminin insülin direncini artırarak diyabet riskini yükselttiği ve kalp sağlığına zarar verdiği ifade ediliyor.
Uzmanlar, kolalı içeceklerin düzenli tüketiminin vücut kitle indeksini artırarak obeziteye yol açtığını da kaydederken obezitenin yalnızca fiziksel sağlığı etkilemekle kalmadığını, aynı zamanda psikolojik sorunlara ve yaşam kalitesinin düşmesine de neden olduğunu belirtiyor.
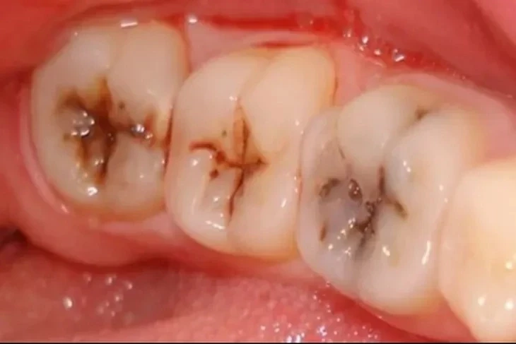
Kolanın en çok dişlere zarar verdiğinin de altını çizen uzmanlar, “Kola ve diğer asidik içecekler, diş minesine zarar vererek çürümelere yol açar. Ayrıca Gençler arasında daha çok tüketilen kolanın geç yaşta diş ömrünü azaltır.” diyor.
HÜRJET, Akdeniz üzerindeki testleri başarıyla geçti... Rüzgarını Torosların eteğinde estirdi
İstanbul’da dev uyuşturucu operasyonu... 1,4 milyon hap ele geçirildi
Şap aşısında iğnesiz uygulama deneniyor
Anadolu Türk Deniz Görev Kuvveti dönüş yolunda
Trabzon'da Başkan Genç Sürmene’de çalışmaları inceledi
Cumhurbaşkanı Erdoğan'dan Türk tarihinin duayenine taziye mesajı
Çorum'da 3.869 çocuğa bayramlık desteği
Bakan Göktaş, BM Komisyonu'nda Türk Devletleri Teşkilatı ortak beyanını tanıttı
Yabancılara konut satışları düştü
YÖK Başkanı Özvar: 2,4 milyon aday YKS’ye başvurdu
Antalya Büyükşehir’den toplu taşıma filosuna 19 yeni otobüs
İnşaat üretimi Ocak'ta yıllık yüzde 8,0 arttı
Eskişehir’de öğrencilerden anlamlı talep
Ticaret'ten kadın kooperatiflerine barkod katkısı
Mardin Artuklu Belediyesi’nden ihtiyaç sahiplerine ramazan paketi desteği
Ankara'da 90’lar sokak oyunlarıyla ramazan etkinliği
Manisa'da mezarlıklar bayrama hazırlanıyor
Başkan Akın gençlerle Balıkesir’in yarını için buluştu
Antalya’da Duraliler 1 Ana İsale Hattı yeniden düzenlendi
Eskişehir Sazova Parkı’nda kavakların yerini çınarlar alıyor
İstanbul Maltepe’de “Ramazan Bayramı” denetimi
Bakan Göktaş Paterson’da Türk toplumuyla buluştu
Cumhuriyet tarihçisi İlber Ortaylı vefat etti
Reklam dünyasının duayeni Alinur Velidedeoğlu hayatını kaybetti
Cerrahpaşa’ya depreme dayanıklı yeni kampüs geliyor... Modern sağlık kampüsüne ilk temel atıldı
Nilüfer'de Unçukuru Mahallesi’ndeki atıl arazi Umut Ormanı oluyor
Gazintep'te gençler DİGEM'le geleceğe hazırlanıyor
MEB'in yarışmasında Türkiye birincisi İzmir Menderes'ten
Sakarya'da 'Su Elçileri' farkındalık oluşturmak sahada
PFDK’dan Kayserispor-Trabzonspor maçına ceza yağdı
Yükleniyor
- Cumartesi 11.9 ° / 2 ° false
- Pazar 12.3 ° / 3.7 ° Bölgesel düzensiz yağmur yağışlı
- Pazartesi 13 ° / 2.3 ° Güneşli


